学院动态

新葡萄8883官网AMG病原真菌功能基因组学研究团队取得研究新进展

作者:  来源:新葡萄8883官网AMG  发布日期:2020-11-03  浏览次数:

近日,新葡萄8883官网AMG病原真菌功能基因组学研究团队在遗传学权威期刊 PLoS Genetics (自然指数期刊)上发表了题为“Opposing functions of Fng1 and the Rpd3 HDAC complex in H4 acetylation in   Fusarium graminearum  ”的研究论文,博士研究生江航为该论文的第一作者,江聪研究员为通讯作者。

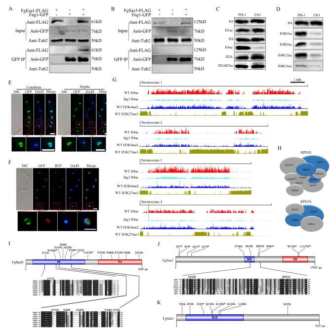
生长抑制因子蛋白家族(ING)是一类重要的肿瘤抑制因子。在正常细胞中,ING蛋白能够抑制肿瘤的形成与生长,如果ING蛋白的的功能被打破,癌症就有可能发生。小麦赤霉菌等丝状真菌的基因组中同样发现了生长抑制因子蛋白的编码基因,然而其功能及调控机制尚不清楚。本研究阐明了小麦赤霉菌生长抑制因子蛋白Fng1在调控生长发育及侵染中的重要功能,发现其与Rpd3组蛋白脱乙酰化复合体之间的直接联系,揭示了两者在调控H4组蛋白乙酰化和基因转录过程中的相反作用。

该研究对小麦赤霉菌中的生长抑制因子蛋白Fng1进行敲除,突变体菌落生长严重滞缓,有性发育、产孢及侵染能力也完全丧失。长期培养Fng1突变体会发现角变现象,角变位点几乎都位于Rpd3脱乙酰化复合体的三个关键亚基:Rpd3、Sin3以及Sds3上。Fng1和Rpd3共定位于细胞核,且主要作用于常染色质区,但是两者在调控组蛋白乙酰化时功能恰好相反。研究发现Fng1与组蛋白乙酰转移酶复合体Nua4的核心亚基Esa1互作,从而介导了对组蛋白H4乙酰化的调控。在 fng1 突变体中,组蛋白甲基转移酶Kmt6和Set1表达显著上调,且这两个酶介导的H3K4和H3K27甲基化与Fng1介导的基因调控之间存在相关性。进一步研究表明Fng1通过间接调控组蛋白甲基化和直接调控组蛋白乙酰化介导了对转录的调控。

PLOS genetics图片2.jpg

Fng1参与组蛋白乙酰化调控的主要途径

该研究得到了国家自然科学基金、陕西省创新人才推进计划-青年科技新星等项目的资助。旱区作物逆境生物学国家重点实验室为论文的完成提供了设备和技术支持。

原文链接:https://doi.org/10.1371/journal.pgen.1009185

编辑:刘小凤

审核:郭   军